종양 특화센터

종양 특화센터

부산 24시 동물병원 연산동물의료센터의
전문 특화 진료를 통해 아이들의 건강한 일상을 약속합니다.

우리 아이의 종양 치료,
정답은 연산동물의료센터입니다.

아이의 건강, 그리고 보호자님의 마음까지 위협하는 무게를 지닌 질환 ‘종양‘ 연산동물의료센터에서는 종양의 진단과 치료의 기회를 절대 가볍게 여기지 않습니다.

대학병원급 정밀 영상장비와 병리 검사 시스템을 통해 종양의 위치, 크기, 전이 여부를 정확하게 파악하고 있으며, 이 과정에서 단순 촬영이나 시각적 확인에 그치지 않고, 세포 및 조직 검사와 혈액 분석을 병행하여 아이의 상태를 세밀하게 읽어내고 있습니다.

수집된 모든 데이터는 종양 전문 원장님과 각 분야별 의료진이 함께 논의해, 가장 안전하고 효과적인 치료계획을 세우고 있습니다.

의료진 이미지
연산동물의료센터는 고난이도
종양 제거 수술에 특화되어 있습니다.

악성 종양이 진단되면 시간이 지날수록 병변이 매우 빠르게 진행되어 악화됩니다. 따라서 빠르게 수술을 진행하는 것이 전이를 막기 위한 최적의 방법입니다. 석·박사 수의사들과 함께 내·외과의 유기적인 협진을 진행하며 종양 제거 수술을 진행합니다.

  • #최소 출혈
  • #최소 통증
  • #완전 절제
암 진단 프로세스

암 진단 프로세스

  • 신체검사
  • 혈액검사
  • X-ray 촬영
  • 정밀 초음파 검사
  • CT 촬영
  • 미세침흡인세포검사
  • 조직검사
신체검사
신체검사

환자의 상태를 파악하고 필요한 검사를 결정합니다.

신체검사
혈액검사

혈액의 각종 성분을 검사해 몸 전체의 장기 또는 조직에 대해 평가합니다.

신체검사
X-ray 촬영

종양의 크기 및 음영에 대한 평가를 진행하여 향후 치료의 방향을 결정합니다.

신체검사
정밀 초음파 검사

미세병변의 정밀 진단에 특화된 장비로 꼼꼼하고 세밀하게 진료합니다.

신체검사
CT 촬영

단시간의 촬용으로 정밀한 3D입체영상을 얻을 수 있습니다.

신체검사
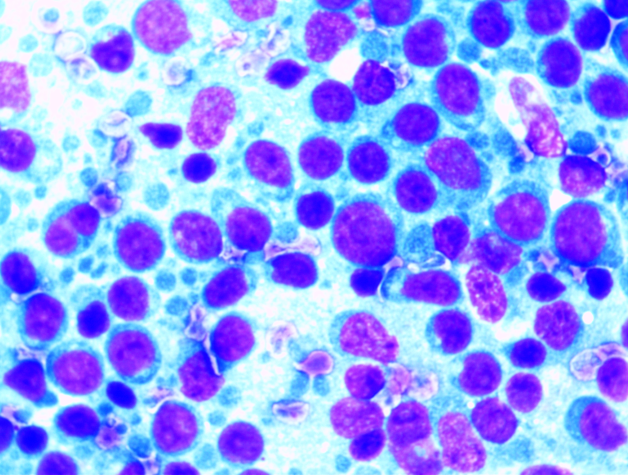
미세침흡인세포검사

미세한 주사바늘로 소량의 세포를 얻은 후 양성 혹은 악성의 세포 진단을 목적으로 시행합니다.

조직검사 이미지
조직검사

병변의 조직을 재취, 재취된 검체를 현미경으로 관찰하여 병변을 진단합니다.

항암 치료

항암 치료

연산동물의료센터는 각 종양별 맞춤 프로토콜 항암 치료 및 PDST(항암제 감수성 검사)를 통해
가장 적합한 항암제를 찾아 반려동물의 높은 삶의 질을 견인합니다.

희망을 이어가고,
삶을 연장하는 항암 케어

반려동물의 항암치료는 사람의 의학과는 다소 다르게, 종양세포를 완전히 제거하기보다는 그 성장을 늦추거나 멈추게 하는 것에 목적을 둡니다. 사람보다 훨씬 짧은 수명을 가진 반려동물은 질병과 종양이 빠르게 진행되고 증상 또한 심각하게 나타나는 경우가 많습니다.

따라서 고통을 줄이고 보호자와 함께 평소와 가까운 일상을 유지하게 해주는 것은 반려동물에게 큰 의미가 있으며, 항암치료는 이러한 점에서 중요한 가치를 지닙니다.

의료진 이미지
PDST

PDST(항암제 감수성 검사)

1 PDST 검사란?

항암제 감수성 검사는 보통 PDST로 불리기도 하며, 암(악성 종양)이 있는 환자의 종양을 외과적으로 제거하고, 검체를 의뢰하여 가장 적합한 항암제를 찾는 검사입니다.

2 검사를 하는 이유가 뭔가요?

반려동물에 있어 항암치료는 종양의 성장을 지연시키고 잠시라도 멈추게 하는 것을 의미합니다.
종양의 성장이 지연되는 것 만으로도 반려동물 삶의 질은 상당히 증진될 수 있습니다.

3 항암제가 적합하지 않다면?

종양이 가장 작을 때(진단 시점) 가장 공격적 치료를 시도합니다. 종양은 선택을 주저하는 사이 계속해서 영역을 확장해 나갑니다. 전신으로 전이된다면, 완치 확률이 극히 낮아집니다. 따라서 암을 진단받은 시점부터 치료를 진행하는 것이 좋습니다.

개 진찰 이미지
PDST 대상

PDST 대상

  • 01

    모든 고형암종 검사가 가능합니다.

  • 02

    단일 및 복합 약제, 표적/대사 약제 모두 검사가 가능합니다.

  • 03

    효과있는 항암제를 선별하여 암치료(종양치료)를 진행해 생존율을 높일 수 있습니다.

  • 04

    재발 시 항암제 선정의 유일한 지표로 작용합니다.

치료사례

치료사례

정밀 진단부터 맞춤 치료까지, 반려동물 심장 건강을 지킵니다.

  • 장종양
    만성구토 장종양

    만성적인 구토의 원인이었던 장종양,
    수술적 치료부터 항암 치료까지

  • 림포마
    항암치료 림포마

    ‘림포마’ 우리 아이에게 가장 적합한
    항암 치료를 만나다

  • 유선종양
    종양수술 유선종양

    배에 멍울이 만져진다면? 유선 종양 수술은
    완벽히 제거하는것이 중요합니다

치료사례 더보기