영상센터

선명하고 정확한 영상 검사, 부산 24시 동물병원
연산동물의료센터에서 만나보세요.
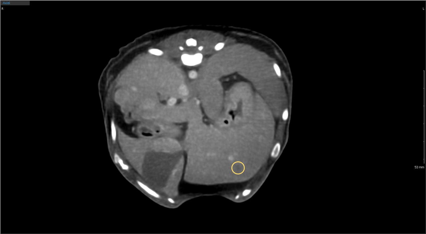
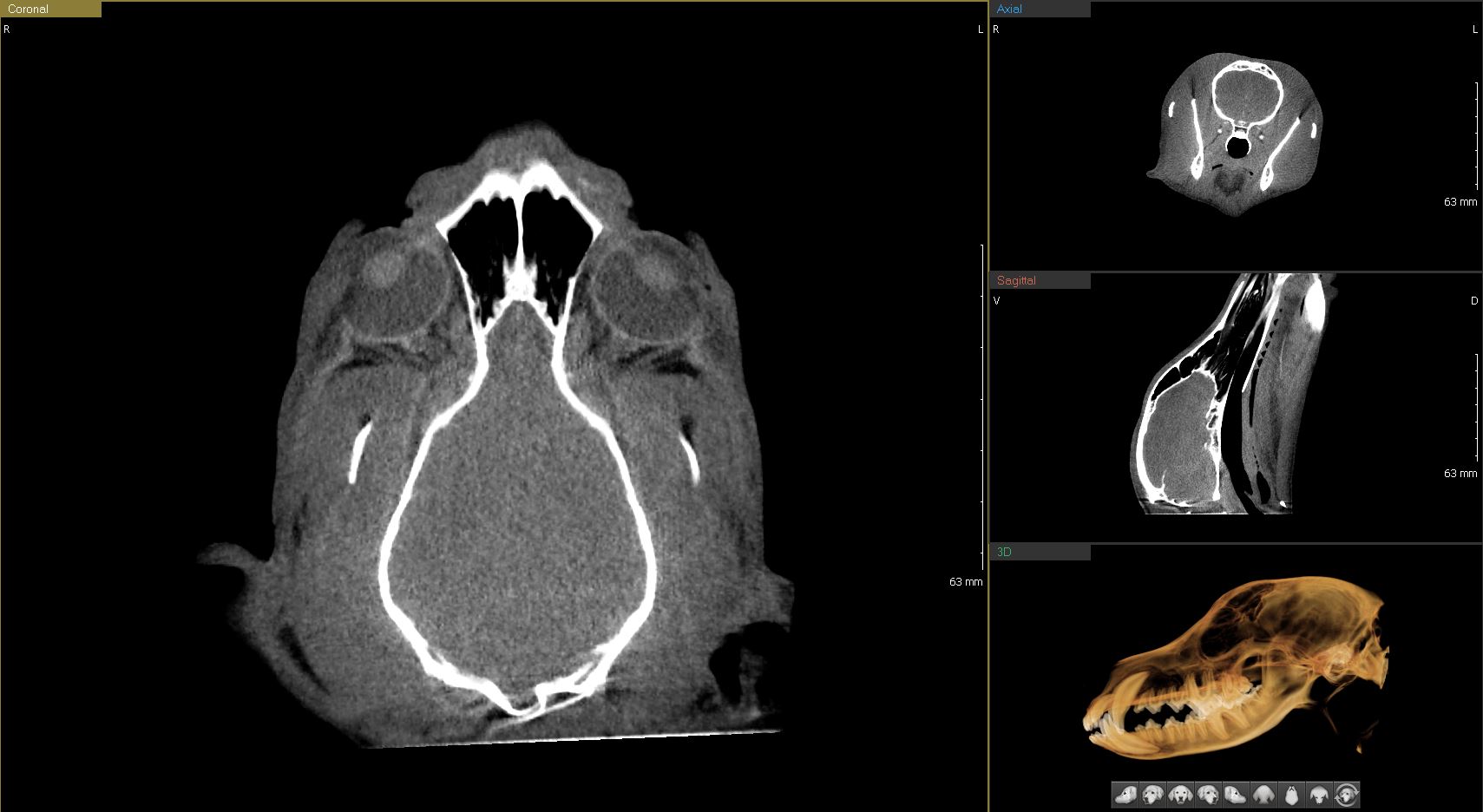
CT

CT

연산동물의료센터의 CT검사는 짧은 촬영으로도
정밀한 3D 입체영상을 얻을 수 있습니다.

강아지 코 이미지

Woorien Veterinary CT

“15분에서 30분 정도의 빠른 촬영 시간으로 마취 부담 최소화”

  • 01

    수의학에 최적화된 동물전용 CT

  • 02

    반려동물의 안전을 생각한 선량 CT

  • 03

    인체 CT보다 빠르게 촬영 & 영상 확인 가능

  • 04

    내과, 정형외과, 치과, 안과, 이비인후과까지 다양한 영역 진단 가능

촬영 부위

촬영 부위

두부비강, 안구, 구강, 두개골 및 뇌 내 실질
흉부심장 및 대형 혈관, 폐 실질 및 기관, 기관지
복부간, 비장, 소화기계, 비뇨기계 등의 복강의 장기
근골격계전신을 비롯한 외상과 골절, 척추
CT 검사 중인 개
평가 가능한 질병

평가 가능한 질병

간결절 CT

간결절

궤도 CT

궤도

방광결석 CT

방광결석

복부 CT

복부

비장결절 CT

비장결절

치과파노라마 CT

치과파노라마

치근 CT

치근

폐 CT

폐결절 CT

폐결절

흉부 CT

흉부

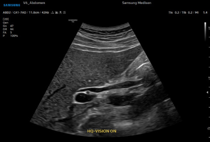
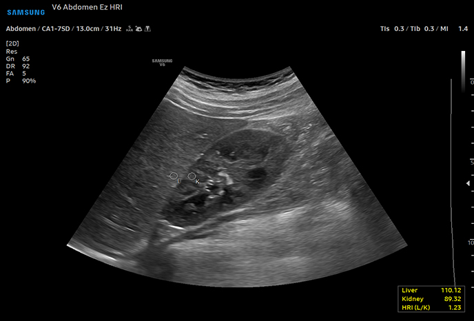
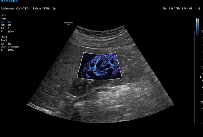
하이앤드 초음파

하이앤드 초음파

비침습적 프리미엄 초음파 장비를 통해 선명하고 정확한 검사가 가능합니다.

초음파 장비 이미지

Samsung V6 Ultrasonic

  • 01

    고급 실시간 3D(4D)로 시각화 가능

  • 02

    고급 도플러 기능으로 심혈관 평가 및 이상 감지

  • 03

    이미지 해상도 극대화, 노이즈 최소화로 장기의 경계부를 선명하게 관찰

  • 04

    저강도 초음파 기술로 신체 조직 위험 최소화

  • 05

    연속적인 모니터링으로 고양이 심장초음파에 최적

촬영 부위

촬영 부위

심장심장의 해부학 구조 및 혈류역학적 평가, 순환기계 장애, 심장 수축·이완
복부간담도계, 비장, 소화기계, 비뇨기계, 부신, 생식기계, 복강 림프절
근골격계근골격계 및 관절 인대
안구안구 내 구조 및 이상 확인
초음파 촬영 부위 이미지
평가 가능한 질병

평가 가능한 질병

클리어비전

클리어 비전

고화질 비전

고화질 비전

HDR 강조 영상

HDR 강조 영상

미세혈류 플로우

미세혈류 플로우

루미플로우

루미플로우

S-플로우

S-플로우

뷰어시스트

뷰어시스트

조직 자기영상(TAI)

조직 자기영상(TAI)

해상도 향상 영상

해상도 향상 영상

S-디텍트

S-디텍트

하트어시스트

하트어시스트

변형률 영상

변형률 영상

자동 EF(박출률) 계산

자동 EF(박출률) 계산

스트레스 에코

스트레스 에코

자동 IMT(경동맥 내막두께) 측정

자동 IMT(경동맥 내막두께) 측정

동맥 분석

동맥 분석

신경 추적

신경 추적

파노라마 영상

파노라마 영상

X-ray

X-ray

저선량 고화질 영상을 통해 정확하고 안전한 검사가 가능합니다.

X-ray 촬영 이미지

Animal Digital X-ray System

  • 01

    동물전용 디지털 X-ray 시스템

  • 02

    낮은 방사선량으로 상세 조정 가능

  • 03

    근골격계 질환부터 내부 장기 이상까지 검사 가능

  • 04

    소형동물부터 대형견까지 촬영 가능